Select Your Language

Notifications

webdunia
webdunia
webdunia
webdunia

அமெரிக்காவில் மூளையைத் தின்னும் அமீபா: என்ன நடக்கிறது அங்கே?

Advertiesment
america
, செவ்வாய், 7 ஜூலை 2020 (14:37 IST)
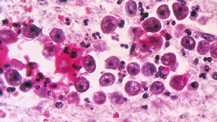
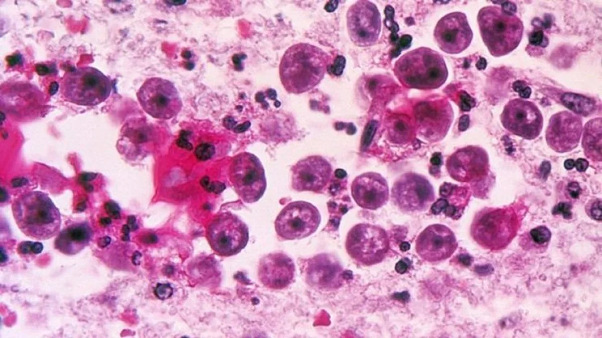
மிக அரிய வகை மூளையைத் தின்னும் அமீபாவால் ஒருவர் பாதிக்கப்பட்டுள்ளார் என அமெரிக்காவின் ஃப்ளோரிடா மாகாண சுகாதாரத் துறை அதிகாரிகள் கூறுகின்றனர்.
 
நெக்லேரியா ஃபௌலேரி என்ற இந்த மிக நுண்ணிய அமீபாவால் ஹில்ஸ்பாரோ கவுன்டியில் உள்ள ஒருவர் பாதிக்கப்பட்டுள்ளார். என்று தெரிவிக்கப்பட்டுள்ளது. மூக்கு வழியாக, தண்ணீர் மூலம் உடலில் நுழையும் இந்த மிக நுண்ணிய அமீபா ஒரு செல் மட்டுமே உடையது.
 
இந்த அமீபா மூளையில் தொற்றினை உண்டாக்கினால், உயிரிழப்பு ஏற்படும் வாய்ப்பே அதிகம். இது வழக்கமாக காணப்படுவது குளிர்ந்து இல்லாத நன்னீரில். ஆனால், இது மனிதர்களிடம் இருந்து மனிதர்களுக்குப் பரவாது.
 
இது அரிதாகவே தொற்றும் என்றாலும், இந்த அரிதான தொற்றுகளில் பெரும்பான்மை அமெரிக்க நாட்டின் தென் பகுதியில்தான் நிகழும். ஃபுளோரிடாவில் 1962ம் ஆண்டில் இருந்து 37 பேர் இந்த அமீபாவால் பாதிக்கப்பட்டுள்ளனர்.
 
இந்த அமீபாவின் ஆபத்துகளை கருத்தில் கொண்டு, ஹில்ஸ்பாரோ கவுன்டி மக்களுக்கு ஃப்ளோரிடா மாகாண சுகாதாரத்துறை ஜூலை 3ம் தேதி அன்று எச்சரிக்கை விடுத்தது. குழாய் தண்ணீர் அல்லது வேறு எந்த தண்ணீராக இருந்தாலும் மூக்கில் படாமல் பார்த்துக்கொள்ள வேண்டும் என ஹில்ஸ்பாரோ மக்கள் அறிவுறுத்தப்பட்டுள்ளனர்.
 
ஏரி, ஆறு என திறந்தவெளி நீராதாரத்தையும் எச்சரிக்கையுடன் பயன்படுத்த வேண்டும் என அதிகாரிகள் குறிப்பிட்டுள்ளனர். பெரும்பாலும் கோடை காலமான ஜூலை, ஆகஸ்ட் மற்றும் செப்டம்பர் மாதங்களில் இந்த அமீபாவால் பாதிப்பு நிகழ்கிறது.
 
இந்த வகை அமீபாவால் பாதிக்கப்பட்டவர்களுக்கு பெரும்பாலும் காய்ச்சல், தலைவலி, குமட்டல், வாந்தி, கழுத்தில் இறுக்கம் உள்ளிட்ட அறிகுறிகள் இருக்கும். பெரும்பாலும் இந்த அமீபாவால் பாதிக்கப்பட்டவர்கள் ஒரு வாரத்தில் உயிரிழந்துவிடுவார்கள்.
 
எனவே இவ்வாறான அறிகுறிகள் இருப்பவர்கள் உடனே மருத்துவமனையை அணுக வேண்டும் என ஃபுளோரிடாவின் சுகாதாரத்துறை அதிகாரிகள் மக்களுக்கு அறிவுறுத்தியுள்ளனர்.
 
நெக்லேரியா ஃபௌலேரி என்ற அமீபா மிக அரிதானது என அமெரிக்க சுகாதாரத்துறை அதிகாரிகள் கூறுகின்றனர். அமெரிக்காவில் 2009 மற்றும் 2018ம் ஆண்டுகளுக்கு இடைப்பட்ட காலத்தில் 34 நான்கு பேர் இந்த அமீபாவால் பாதிக்கப்பட்டுள்ளனர். இதில் 30 பேருக்கு பொழுதுபோக்கு நீர்நிலைகளில் இருந்தே இந்த தொற்று ஏற்பட்டுள்ளது.

Share this Story:

வெப்துனியாவைப் படிக்கவும்

செய்திகள் ஜோ‌திட‌ம் சினிமா மரு‌த்துவ‌ம் மேலோங்கிய..

Follow Webdunia tamil

அடுத்த கட்டுரையில்

குவைத்தில் இயற்றப்பட்ட புதிய சட்டத்தால் 8 லட்சம் இந்தியர்கள் வேலை இழக்கும் ஆபத்து